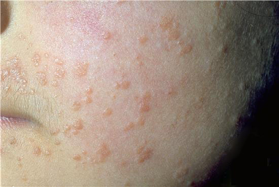
ბრტყელი მეჭეჭები (Verruca plane)
რა არის ბრტყელი მეჭეჭი?
ბრტყელი მეჭეჭები - ეს არის კანის ვირუსული დაავადება.
რა იწვევს ბრტყელ მეჭეჭს?
დაავადება გამოწვეულია ადამიანის პაპილომა ვირუსით (HPV-3,10). ხშირია ბავშვთა ასაკში და ახალგაზრდებში.
როგორ გამოვლინდება დაავადება?
• ტიპური ლოკალიზაციაა სახე, მტევნები და ტერფები.
• გამოვლინდება ბრტყელი, მოვარდისფრო ან მოყავისფრო შეფერილობის პაპულებით.
• შესაძლოა ახლდეს უმნიშვნელო ქავილი.
არის თუ არა გადამდები დაავადება?
ბრტყელი მეჭეჭები გადამდები დაავადებაა.
განკურნებადია თუ არა დაავადება?
დაავადება განკურნებადია.
როგორია მკურნალობის მეთოდები?
• სალიცილის მჟავას შემცველი მალამოები (15-50%)- ხანგრძლივად.
• კრიოდესტრუქცია.


ძიება ვებ-გვერდზე
ვირუსული ინფექციები
